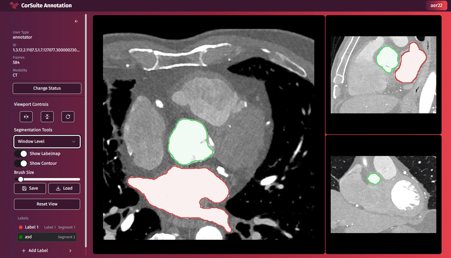
corSUITE Annotation
AI Powered Medical Image Annotation

Reduce manual effort with AI-assisted segmentation, contouring, and labeling.
Adaptable to clinical research, clinical trials, and commercial applications.
Handles any imaging format, including DICOM and NIfTI.
Work in real-time with research teams, streamlining your processes.
Built on an ISO/IEC 27001-certified platform with robust System.
SUPPORT & SERVICE
No worries. We've got you covered.
We understand that medical image annotation can be time-consuming. With corSUITE Annotate, you can optimize this process effortlessly using AI-powered precision annotation tools and quality control systems , enabling your team to annotate datasets faster and more accurately .
Who Uses corSUITE Annotate?
Clinical Trials & Research Teams
Accelerate research outcomes with structured, reproducible annotations.
Radiology and Research Insitute's
Improve efficiency and precision in imaging workflows.
AI Developers
Train and validate AI models with high-quality labeled datasets.
Medical Device & Pharma Companies
Support imaging-based trials with validated annotation tools.
Why Choose corSUITE Annotate?
Accuracy & Speed
AI-driven automation ensures consistent, high-quality annotations in a fraction of the time
Secure & Scalable
Enterprise-grade cloud security and scalable architecture for organisations of all sizes.
Quality Controlled
Enterprise Integrated Management System ensures our systems deliver quality.
Integrated
Designed to fit seamlessly into PACS, research databases, and AI workflows.

Discover corSUITE Annotate today!
Transform how you annotate medical images—faster, smarter, and more secure.
Request a Demo